8 年
手机商铺
入驻年限:8 年
枢先生
湖北 武汉市 江夏区
抗体、试剂、细胞库 / 细胞培养、技术服务、耗材、实验室仪器 / 设备
生产厂商 经销商
公司新闻/正文
722 人阅读发布时间:2023-06-14 09:51
编者按
医学上普遍认为持续时间超过6个月的疼痛属于慢性疼痛。临床上,慢性疼痛常常会引发精神症状如抑郁,而抑郁患者也会发生躯体各部位的疼痛。疼痛是抑郁症最常见的症状之一,半数以上抑郁症患者伴有疼痛症状。
疼痛是一种由急性或潜在组织损伤引起的或以这些损伤来描述的不愉快的感觉及情感体验。疼痛和抑郁被认为是人类痛苦最严重的形式。治疗慢性疼痛病人的抑郁可减少疼痛在情感上的痛苦、疲乏、睡眠障碍、焦虑、紧张及坐立不安等症状,从而改善患者的健康水平。这些可能对疼痛本身的各个方面有益。部分患者用抗抑郁治疗后可完全消除疼痛。
然而,组织损伤和抑郁引起疼痛的具体神经机制尚不清楚,因此,小编在这里给大家推荐2021年3月8日中国科学技术大学生命科学与医学部张智教授联合科大一附院麻醉科李娟主任团队发表在Nature Neuroscience上的文章“Distinct thalamocortical circuits underlie allodynia induced by tissue injury and by depression-like states”,该文深刻解析了组织损伤及抑郁引起疼痛的两种分别不同的神经回路,可为未来治疗病理性疼痛提供借鉴与参考。同时,小编对张智团队再发高分文章表示衷心祝贺。中国科学技术大学生命科学学院张智教授多年来致力于研究疼痛及其与情绪障碍共病的分子和神经环路机制,在Nature Medicine、Nature Neuroscience、PNAS和Journal of Neuroscience等学术期刊上发表多篇相关论文,分别被Nature Reviews Neuroscience和Nature Reviews Drug Discovery杂志Highlight。

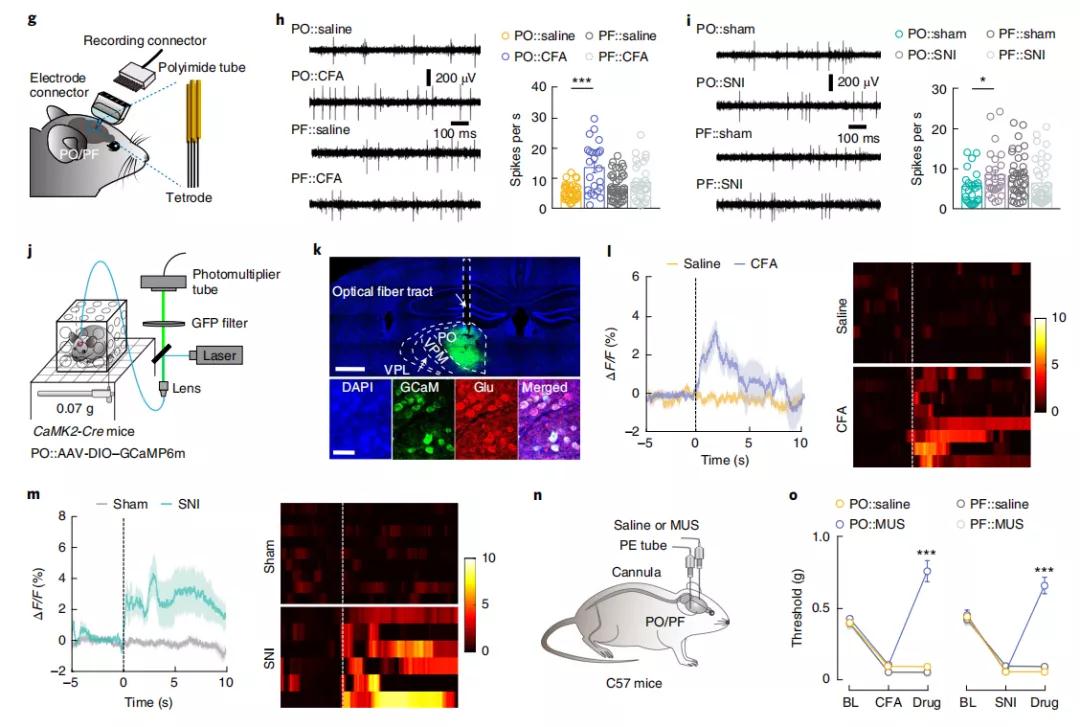
人类的组织损伤和抑郁都能引起痛觉超敏反应,但这是否涉及不同的神经回路尚不清楚。张智等人的研究在雄性小鼠中鉴定了两个离散的谷氨酸能神经元回路:丘脑后核(POGlu)到初级体感皮层谷氨酸能神经元(S1Glu)的投射介导组织损伤引起的痛觉超敏,从束旁丘脑核(PFGlu)到前扣带皮层GABA能神经元再到谷氨酸能神经元(ACCGABA→Glu)的通路介导了与抑郁样状态相关的痛觉超敏反应。体内钙成像和多极电生理记录显示,POGlu和PFGlu的神经元群在这两种情况下经历了不同的适应。人工操作每一个回路都会影响由组织损伤或抑郁样状态引起的痛觉超敏,但不能同时影响两者。不同的丘脑皮层回路POGlu→S1Glu和PFGlu→ACCGABA→Glu分别与组织损伤和抑郁样状态的阈下痛觉超敏相关,从而提供了对不同病因引起的病理性疼痛回路的基础见解。
研究人员通过完全弗氏佐剂(CFA)或保留性神经损伤(SNI)建立小鼠组织损伤疼痛模型,借助电生理实验及光纤钙成像记录系统发现疼痛小鼠POglu神经元活性增加,放电活动增强,且钙离子浓度升高。而注射GABAA受体激动剂MUS后,可明显缓解疼痛。表明POglu神经元参与组织损伤引起的疼痛。

图1. PO参与组织损伤相关的疼痛
而后研究人员通过慢性束缚应激(CRS)或慢性不可预测应激(CUS)建立抑郁相关疼痛模型,借助电生理实验发现慢性应激后PFGlu神经元放电减少,表明PFGlu神经元参与抑郁引起的疼痛。
为了进一步研究POglu神经元及PFGlu神经元分别参与的神经环路,研究人员借助顺行示踪病毒、逆行示踪病毒、光遗传及化学遗传技术,发现化学遗传抑制POglu神经元后,S1Glu神经元兴奋性减弱,放电活动减少,并能缓解组织损伤导致的疼痛。而光遗传激活PFGlu→ACCGABA→Glu回路,只能减轻慢性应激引起的疼痛,没法缓解组织损伤引起的疼痛。表明POglu神经元的下游是S1Glu神经元,而PFGlu神经元的下游是ACCGABA→Glu神经元。POGlu→S1Glu回路特异性调控组织损伤引起的疼痛,同时PFGlu→ACCGABA→Glu回路特异性调控抑郁引起的疼痛。

图2 . POGlu→S1Glu回路

图3. POGlu→S1Glu回路调控组织损伤引起的疼痛

图4. PFGlu→ACCGABA→Glu回路

图5. PFGlu→ACCGABA→Glu回路调控抑郁引起的疼痛
总的来说,本文解析了不同病因引起疼痛的神经环路,为疼痛的精准治疗提供了潜在的靶点。
图片来源:Nature Neuroscience
原文链接:https://doi.org/10.1038/s41593-021-00811-x
文中病毒产品由我司提供,具体如下:
|
rAAV-Ef1α-DIO-EGFP |
|
rAAV-Ef1α-DIO-RVG |
|
rAAV-Ef1α-DIO-EGFP |
|
rAAV-Ef1α-DIO-hChR2(H134R)-mCherry |
|
rAAV-Ef1α-DIO-eNpHR3.0-EYFP |
|
rAAV-Ef1α-DIO-hM4D(Gi)-mCherry |
|
rAAV-Ef1α-DIO-hM3D(Gq)-mCherry |
|
rAAV-CaMK2a-hM3D(Gq)-mCherry |
|
rAAV-Ef1α-DIO-mCherry |
|
rAAV-DIO-EYFP |
|
rAAV-CaMK2a-mCherry |
|
rAAV-Ef1α-DIO-mCherry |
|
rAAV-Ef1α-DIO-EGFP |
|
rAAV-CaMK2a-EYFP |
|
rAAV-DLX5/6-mCherry |
|
rAAV-Ef1a-DIO-GCaMP6m |
|
retro-AAV-hSyn-cre |
|
AAV-DIO–eNpHR–EYFP |
|
AAV-DIO–ChR2–mCherry |
|
retro-AAV-CaMK2a-cre |
|
AAV-DIO–hM4Di–mCherry |
|
retro-AAV-hSyn-EGFP |
其他相关产品
钙成像技术(部分产品)
|
PT-0110 |
rAAV-CaMKIIa-GCaMP6s |
|
PT-0116 |
rAAV-CaMKIIa-GCaMP6s-P2A-NLS-dTomato |
|
PT-0111 |
rAAV-CaMKIIa-GCaMp6m |
|
PT-0119 |
rAAV-CaMKIIa-GCaMp6f |
|
PT-0145 |
rAAV-hSyn-GCaMp6s |
|
PT-0148 |
rAAV-hSyn-GCaMp6m |
|
PT-0147 |
rAAV-hSyn-GCaMp6f |
|
PT-0151 |
rAAV-hSyn-GCaMp6f-P2A-NLS-dTomato |
|
PT-1421 |
rAAV-CAG-FLEX-jGCaMP7s |
化学遗传(部分)
化学遗传激活
|
PT-0525 |
rAAV-CaMKIIa-hM3D(Gq)-EGFP |
|
PT-0152 |
rAAV-hSyn-hM3D(Gq)-EGFP |
|
PT-1144 |
rAAV-CaMKIIa -DIO-hM3D(Gq)-mCherry |
|
PT-0019 |
rAAV-hSyn-DIO-hM3D(Gq)-mCherry |
|
PT-0816 |
rAAV-EF1α-DIO-hM3D(Gq)-EYFP |
|
PT-0160 |
rAAV-nEF1a-fDIO-hM3D(Gq)-EGFP |
化学遗传抑制
|
PT-0524 |
rAAV-CaMKIIa-hM4D(Gi)-EGFP |
|
PT-0153 |
rAAV-hSyn-hM4D(Gi)-EGFP |
|
PT-1143 |
rAAV-CaMKIIa-DIO-hM4D(Gi)-mCherry |
|
PT-0020 |
rAAV-hSyn-DIO-hM4D(Gi)-mCherry |
|
PT-0815 |
rAAV-EF1α-DIO-hM4D(Gi)-EYFP |
|
PT-0159 |
rAAV-nEF1a-fDIO-hM4D(Gi)-EGFP |
探针相关:
|
GABA探针 |
PT-1249 |
rAAV-hSyn-iGABASnFR |
|
PT-1306 |
rAAV-CAG-iGABASnFR | |
|
PT-1307 |
rAAV-EF1α-DIO-iGABASnFR |
对照病毒(部分产品)
|
PT-0290 |
rAAV-CAMKIIa-EGFP |
|
PT-0107 |
rAAV-CaMKIIa-EYFP |
|
PT-0108 |
rAAV-CaMKIIa-mCherry |
|
PT-1102 |
rAAV-hSyn-mEGFP |
|
PT-0241 |
rAAV-hSyn-EGFP-3XFlag |
|
PT-0102 |
rAAV-hSyn-EYFP |
公司相关业务:基因编辑(敲入、敲除、点突变、敲低、过表达、干扰等)、行为学小鼠模型构建、干细胞诱导分化、神经示踪、整包服务等。
官网: www. brainvta. ltd