8 年
手机商铺
入驻年限:8 年
枢先生
湖北 武汉市 江夏区
抗体、试剂、细胞库 / 细胞培养、技术服务、耗材、实验室仪器 / 设备
生产厂商 经销商
公司新闻/正文
2232 人阅读发布时间:2023-06-14 09:38
《客户文章》神经科学研究所与复旦大学附属儿科医院以及美国威斯康辛研究组对改善帕金森病模型动物的行为学障碍研究新进展
成年哺乳动物脑内神经元再生能力有限,许多神经系统疾病,包括中风,脑外伤,神经退行性疾病如帕金森、阿尔兹海默症等等,都会导致神经元的丢失和脑内神经环路的破坏。细胞疗法通过移植神经细胞进入脑内代替丢失神经元的功能,被认为是治疗这类神经系统疾病的重要方法,具有广泛的应用前景。
帕金森病是由于中脑多巴胺能神经元丢失引起的神经退行性疾病。在之前针对帕金森病的细胞疗法的研究中发现,将细胞移植到脑内,未成熟的神经前体细胞能够分化成熟为神经元并且能够生长出轴突,而帕金森病模型小鼠的行为缺陷也能够被一定程度的恢复。但是移植细胞是否能和原来丢失的神经元一样接收上游脑区的传入信息,准确的投射到下游脑区,真正能在功能上修复成年大脑中受损的神经环路之前并不清楚。而移植细胞对于脑内神经环路的重塑对于包括帕金森等神经退行性疾病的治疗具有至关重要的作用。

2020 年 9 月 22 日中国科学院脑科学与智能技术卓越创新中心(神经科学研究所)陈跃军研究团队与复旦大学附属儿科医院周文浩 / 熊曼研究组以及美国威斯康辛张素春研究组合作在《Cell Stem Cell》上发表了题为《Human Stem Cell-Derived Neurons Repair Circuits and Restore Neural Function》的研究论文,揭示了人干细胞来源的神经细胞可以特异性的修复成年脑内受损的黑质 - 纹状体环路,改善帕金森病模型动物的行为学障碍。
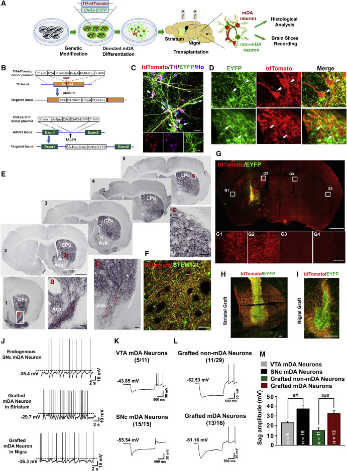
研究人员将人胚胎干细胞通过不同的分化方法得到中脑多巴胺能(mDA)神经前体细胞和前脑谷氨酸能神经前体细胞,并把他们分别移植到帕金森病模型小鼠的中脑黑质区域,移植六个月后,神经前体细胞都能分化成熟为神经元,并且通过人特异的 human NCAM 染色发现移植进去的多巴胺能神经元的神经纤维主要分布在原来由 A9 mDA 神经元支配的纹状体的尾状核(Cpu),而前脑谷氨酸能神经元的轴突生长是局限的,神经纤维主要分布在移植区域。这个结果表明,移植的人类神经前体细胞分化为各自的神经元类型,而轴突则投射到不同的大脑区域。

图1
研究人员将不同的矢状切面进行染色,发现移植的 mDA 神经元的轴突伸展在喙吻侧方向上沿着前脑内侧束(MFB),穿过伏隔核,沿着皮层和纹状体之间的边界进入 Cpu。从侧向上看,它们延伸穿过 SI 和杏仁核。且经过 STEM121 染色的大多数人纤维都呈 TH 阳性,表明这些神经纤维是多巴胺能神经元。这些结果表明移植的多巴胺能神经元的大多数轴突投射均遵循内源性黑质 - 纹状体途径。

图2
接下来研究人员通过基因编辑的手段将 tdTomato 荧光蛋白接入 TH 基因后面,并将 ChR2-EYFP 融合蛋白表达盒敲入 AAVS1 基因位点,建立了 TH-tdTomato / AAVS1-ChR2-EYFP 人胚胎干细胞系,实现对已移植细胞的特定的荧光标记和光遗传操控。研究人员将该细胞系分化为多巴胺能前体细胞并移植到帕金森病小鼠模型的黑质或纹状体区域。只有多巴胺能神经元才会表达 tdTomato,移植后六个月,大脑连续冠状切片对 tdTomato 的染色显示,大多数人多巴胺神经元投射分布在 CPu 中,在那里纤维形成了密集且分支的网络,而伏隔核中仅存在一小部分多巴胺神经元的投射。研究人员还对移植细胞进行了全细胞膜片钳的电生理记录,结果表明纹状体或黑质移植物中的人多巴胺神经元能够产生自发的动作电位(sAP),并且具有多巴胺能神经元所特有的电压凹陷这一电生理特性,而非多巴胺能神经元的电压凹陷远远小于多巴胺能神经元,从电生理上证明了移植的人 mDA 神经元具有 A9 mDA 神经元的功能特征。

图3
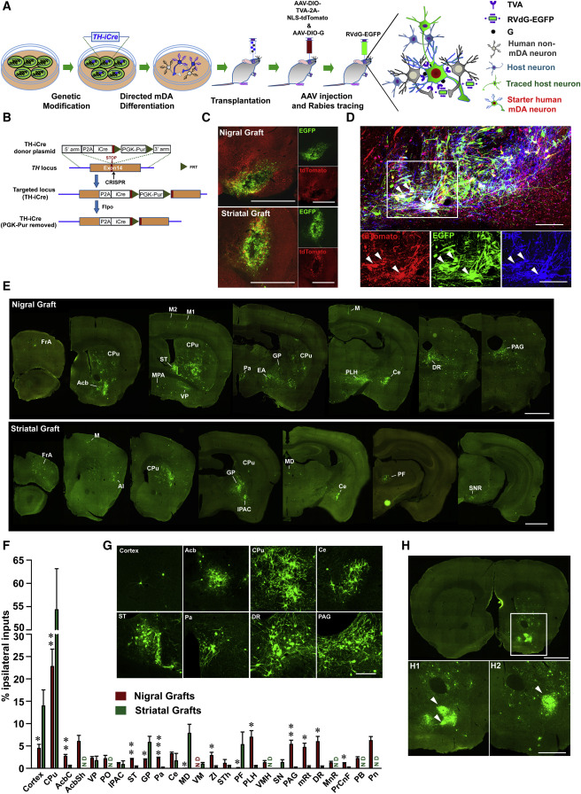
研究人员利用狂犬病毒介导的示踪系统来揭示移植细胞的上游脑区,通过将 TH 特异性表达 Cre 重组酶的细胞系分化得到的 mDA 神经前体细胞移植到黑质或纹状体,在移植五个月后在移植脑区注射 AAV helper 病毒,并在一周后注射狂犬病毒,通过狂犬病毒示踪,显示移植到黑质和纹状体的细胞分别接受了来自不同脑区的的投射,表明移植细胞接受的突触前投射与移植位置相关。

图4
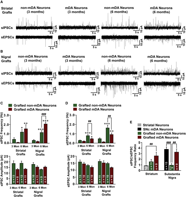
接下来研究人员通过电生理对移植细胞接受的兴奋性传入和抑制性传入进行检测,发现无论是移植在纹状体还是黑质,多巴胺能神经元接受的抑制性性输入都比非多巴胺能神经元强,而兴奋性输入则较少,表明决定移植神经元的抑制性和兴奋性输入特征的是移植神经元的类型而不是移植部位。

图5
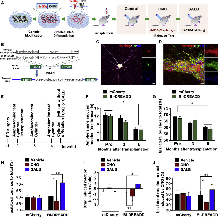
最后研究人员通过对移植的帕金森病小鼠的行为学检测,发现只有移植 mDA 神经元的小鼠行为缺陷才能得到改善。并且通过建立一种称为 Bi-DREADD-hESCs 的人胚胎干细胞系,能够对移植的细胞进行化学遗传学的操控。实验结果表明只有在 CNO 激活移植细胞之后,行为缺陷的小鼠才能得到改善,而不激活或抑制移植细胞活性,模型小鼠的行为缺陷都无法得到改善。

图6
总的来说,本文结合了特异性标记细胞系和狂犬病毒示踪系统重构了移植细胞与宿主形成的神经连接,揭示了不同类型神经元对于神经环路的修复是不同的,并通过化学遗传学的操控揭示移植细胞的功能影响的神经环路重塑对行为缺陷恢复的重要性。提示了不同类型神经元相关的神经系统疾病,需要有针对性的移植特定类型的神经细胞进行神经环路的修复从而进行治疗。

图7
原文链接:https://pubmed.ncbi.nlm.nih.gov/32966778/
产品相关(环路示踪部分产品):
|
产品编号 |
产 品 名 称 |
|
PT-0021 |
rAAV-Ef1α-DIO-His-EGFP-2a-TVA |
|
PT-0022 |
rAAV-hSyn-EGFP-2a-TVA-2a-RVG |
|
PT-0023 |
rAAV-Ef1α-DIO-RVG |
|
R01001 |
RV-ENVA-ΔG-EGFP |
|
R01002 |
RV-ENVA-ΔG-dsRed |
|
R01003 |
RV-ENVA-ΔG-Gcamp6s-dsRed |
公司相关业务:基因编辑(敲入、敲除、点突变、敲低、过表达、干扰等)、行为学小鼠模型构建、干细胞诱导分化、神经示踪、整包服务等。