8 年
手机商铺
入驻年限:8 年
枢先生
湖北 武汉市 江夏区
抗体、试剂、细胞库 / 细胞培养、技术服务、耗材、实验室仪器 / 设备
生产厂商 经销商
公司新闻/正文
1520 人阅读发布时间:2023-06-14 11:12
动脉粥样硬化(atherosclerosis,AS)是一种慢性进行性炎症性疾病,由于在动脉内膜积聚的脂质外观呈黄色粥样,因此称为动脉粥样硬化。AS是大多数心血管疾病(冠心病、心绞痛、心肌梗死、缺血性心肌病、猝死以及隐匿性冠心病等)的根本原因。动脉粥样硬化的发病机理学说甚多,如脂质浸润学说、血栓源学说、血液动力学学说、中层平滑肌细胞增生学说、内膜损伤学说及受体学说等,现逐渐明确动脉粥样硬化的发病机理是复杂的,是综合性的较长过程。近年来,学术界普遍认可内膜损伤学说。动脉内膜主要由内皮细胞构成。完整的内皮细胞是动脉的生理屏障,基于它的扩血管、抗凝血、抗血小板、抗脂质沉积和抗缩血管物质的综合作用,才能够保证动脉血液的正常流动,防止血栓和动脉硬化的形成。如果内皮细胞遭受广泛和严重的损害,就会出现与之相反的病理生理变化,特别是在高血脂的情况下动脉内膜损伤就成为动脉硬化形成的关键始动因素。内皮细胞损伤的原因较多,近年来脂质过氧化的致损伤作用已引起广泛注意。动物实验表明,脂质过氧化可引起内皮细胞结构和功能的改变,使内皮细胞收缩,生物膜系统损伤。高脂血症作为动脉硬化的一种危险因素,主要在于氧化的低密度脂蛋白对内皮细胞的损伤作用。动脉粥样硬化病灶或动脉粥样硬化患者或实验动物血浆中的脂质过氧化物含量异常增高,表明脂质过氧化与动脉粥样硬化的密切关系。因此,脂质代谢障碍为动脉粥样硬化的病变基础。

图1. 动脉粥样硬化示意图


原理:
LDLR主要识别LDL颗粒表面的ApoB和IDL颗粒表面的ApoE(载脂蛋白),介导相关脂蛋白内化并在细胞内进一步代谢。ApoE基因敲除小鼠因ApoE失效使得LDL、VLDL(极低密度脂蛋白)/IDL(中密度脂蛋白)等不能与相关受体识别结合,以致这些脂蛋白清除延缓而出现高脂血症。血脂过高诱发脂蛋白的氧化修饰,促使AS病变形成。

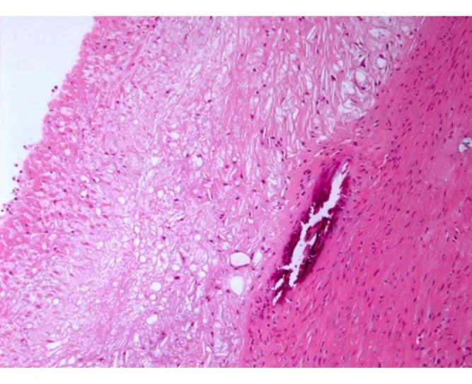
图2. 主动脉形态学(主动脉弓内膜明显增厚,脂质大量沉积,泡沫细胞增生,灶性坏死,中膜钙化)
PCSK9(proprotein convertase subtilisin/kexin type 9,前蛋白转化酶枯草溶菌素转化酶9/kexin样前转化酶枯草杆菌蛋白酶家族的第九个成员)是近年来新发现的常染色体显性高胆固醇血症相关基因,其编码蛋白是由692个氨基酸组成的细胞内“转化酶”或脱羧酶。研究表明,PCSK9是脂质稳态调节过程中发挥作用的关键调控因子,在内皮细胞,血管平滑肌细胞和巨噬细胞中表达水平较高,对血管稳态和动脉粥样硬化斑块产生局部影响。
在成人和啮齿类动物中,PCSK9主要在肝脏中表达。肝脏是脂类合成转运、外源性代谢、内源性代谢和脂肪酸代谢不可缺少的重要场所,脂类的消化吸收、运输、分解代谢和合成代谢,都与肝脏密切相关。肝细胞通过低密度脂蛋白受体(low density lipoprotein receptor,LDLR)结合PCSK9构成复合物并靶向转运到溶酶体内使LDLR降解,阻断LDLR在细胞膜表面的循环途径,阻碍低密度脂蛋白胆固醇 (low density lipoproteincholesterol,LDLC) 通过LDLR转运从体内清除,造成血浆LDLC水平升高。而目前公认动脉内皮下LDLC等脂类的沉积是血管发生动脉粥样硬化的必备条件。因此,PCSK9已成为动脉粥样硬化干预的关键靶点。

图3. PCSK9与肝细胞表面LDLR结合(Alkindi M, et al. Can J Cardiol. 2016)
通过种系基因工程导致高胆固醇血症可在动物身上实现动脉粥样硬化,但这种模型仅限于少数物种,且很难与基因操作等技术结合。于是,Bjørklund MM等人利用腺相关病毒(AAV)表达功能获得性PCSK9突变体,开发了一种无种系基因工程的动脉粥样硬化诱导方法。该研究表明单次尾静脉注射AAV-PCSK9配合高脂饲料喂养,8周龄C57BL/6NTac小鼠PCSK9和总胆固醇迅速增加,并维持在较高水平。12周后,小鼠主动脉出现动脉粥样硬化病变,主动脉根部组织学显示病变进展至纤维粥样硬化阶段。总的来说,该方法能快速诱导动物动脉粥样硬化。

图4. pAAV-PCSK9质粒示意图(Bjørklund MM, et al. Circulation Research. 2014)

图5. rAAV8-D377Y-mPCSK9诱导动脉粥样硬化,主动脉弓动脉粥样硬化存在剂量依赖性(高剂量组:5.0×1011vg;中等剂量组:1.0×1011vg;低剂量组:2.0×1010vg,Bjørklund MM, et al. Circulation Research. 2014)

图6. AAV-PCSK9与Ldlr KO小鼠、ApoE KO小鼠构建AS模型的对比(Emini Veseli B, et al. Eur J Pharmacol. 2017.)

方法:将1-5E+11 vg病毒尾静脉注射至小鼠体内,然后高脂饮食喂养12周后进行取材检测。
我司拥有人源、鼠源过表达PCSK9腺相关病毒(AAV-PCSK9),欢迎咨询!
参考文献
1.Seidah NG, et al. PCSK9:a key modulator of cardiovascular health. Circ Res. 2014 Mar 14;114(6):1022-36.
2.Alkindi M, et al. Monoclonal Antibodies for the Treatment of Hypercholesterolemia:Targeting PCSK9. Can J Cardiol. 2016 Dec;32(12):1552-1560.
3.Bjørklund MM, et al. Induction of atherosclerosis in mice and hamsters without germline genetic engineering. Circ Res. 2014 May 23;114(11):1684-9.
4.Schulz R, et al. Molecular and cellular function of the proprotein convertase subtilisin/kexin type 9 (PCSK9). Basic Res Cardiol. 2015 Mar;110(2):4.
5.Seidah NG, et al. The multifaceted proprotein convertases: their unique, redundant, complementary, and opposite functions. J Biol Chem. 2013 Jul 26;288(30):21473-81.
6.Alallaf F, et al. The Spectrum of Familial Hypercholesterolemia (FH) in Saudi Arabia: Prime Time for Patient FH Registry. Open Cardiovasc Med J. 2017 Jul 26;11:66-75.
7.Emini Veseli B, et al. Animal models of atherosclerosis. Eur J Pharmacol. 2017 Dec 5;816:3-13.