[客户文章]南方医科大学团队揭示帕金森病的潜在靶点
1858 人阅读发布时间:2023-06-13 14:44
前言
帕金森氏病(PD)是一种以运动协调障碍和认知障碍为特征的第二大神经退行性疾病,其病因主要是投射到纹状体的多巴胺能神经元过度死亡。纹状体是调节精神活动与运动功能的重要脑区,主要接收来自中脑黑质(合成多巴胺的重要核团)致密部(SNc)的多巴胺能信号传入。纹状体属于大脑基底神经节之一,纹状体的中等棘状神经元(MSNs)是GABA能神经元,直接通路MSNs(dMSNs)直接投射到基底神经节输出端(苍白球内部:GPi/黑质网状部:SNr)并表达有D1类多巴胺受体。直接途径的激活减少了基底神经节的输出,解除对丘脑神经元的抑制作用并促进运动的产生。而间接途径MSNs(iMSNs)通过苍白球外侧部(GPe)中的GABA能神经元和丘脑底核(STN)中的谷氨酸能神经元间接投射到基底神经节输出端,并表达D2类多巴胺受体。该通路的激活可增加基底神经节输出,抑制丘脑神经元的活性进而抑制运动的产生。在PD中,多巴胺功能紊乱会导致直接通路和间接通路之间的调控失衡(减弱直接通路并增强间接通路,激活基底神经节输出端,增强对丘脑神经元的抑制作用),从而引起行为异常。这种失衡的原因是由于dMSNs和iMSNs的异常神经兴奋性、多巴胺耗竭、纹状体MSNs树突棘可塑性改变引起。然而,其中的分子机制目前还不明确。
细胞分裂周期因子42(Cdc42)是Rho GTP酶家族成员,在调节树突棘可塑性中起重要作用。Cdc42在GDP结合的非活性状态和GTP结合的活性状态之间循环,而只有活性状态的Cdc42才能与下游效应分子相互作用。例如,抑制Cdc42-p21激活激酶(PAK)通路损害海马树突结构和功能可塑性。异常的Cdc42信号与精神疾病和神经退行性疾病相关,在PD患者中发现Cdc42基因表达下调,但作用机制至今仍不清楚。
2022年4月12日,南方医科大学基础医学院张璐、张琳教授与实验动物管理中心刘怒云教授合作在《Aging Cell》发表研究论文,证明D2R阳性神经元的Cdc42信号可调节PD样行为。在该研究中,作者发现PD小鼠尾壳核(CPu)中的Cdc42信号显著降低。此外,CPu中过表达组成性活性Cdc42逆转了PD小鼠的树突棘异常并改善了行为缺陷。D2R条件性敲除诱导的iMSNs树突棘丢失、运动协调和认知的缺陷可被CPu中组成性活性Cdc42的过度表达所逆转。CPu中D2R阳性神经元条件性敲除Cdc42足以诱导类似于在PD小鼠中观察到的树突棘和行为缺陷。总的来说,上述结果表明D2R调节的Cdc42信号受损在PD的树突棘丢失和行为缺陷中起着重要作用。

结果
01
Cdc42活性降低导致树突棘发生障碍和诱导PD样行为
为了研究Cdc42是否参与PD小鼠的病理生理学过程,研究人员在注射1-甲基-4苯基-1,2,3,6-四氢吡啶(MPTP)后,检测CPu脑区Cdc42的表达变化,发现Cdc42的总蛋白水平无明显变化,但是活性状态的Cdc42表达明显降低,且Cdc42下游信号分子神经系统特异的Wiskott-Aldrich 症候蛋白(N-WASP)、PAK、Cofilin(丝切蛋白)的磷酸化水平也显著降低,提示PD小鼠CPu脑区Cdc42信号通路出现功能障碍。
图1. PD小鼠CPu脑区Cdc42信号水平降低
随后将Cdc42的活性病毒Cdc42-ca和Cdc42的失活病毒Cdc42-dn分别注射到CPu脑区,发现Cdc42-ca能显著增加Cdc42的下游信号,并促进树突棘的密度。而Cdc42-dn显著抑制Cdc42的下游信号,并降低树突棘的密度。
图2. Cdc42调节CPu脑区的树突棘发生
那么活性状态的Cdc42是否能改善PD小鼠的相关行为学呢?在PD小鼠CPu脑区注射Cdc42-ca进行运动功能、认知功能和情绪行为的检测,行为学实验发现Cdc42-ca能明显改善PD小鼠的运动障碍和认知缺陷,但不影响PD小鼠的情绪行为。
02
D2R阳性神经元的Cdc42活性调节树突棘发生和PD样行为
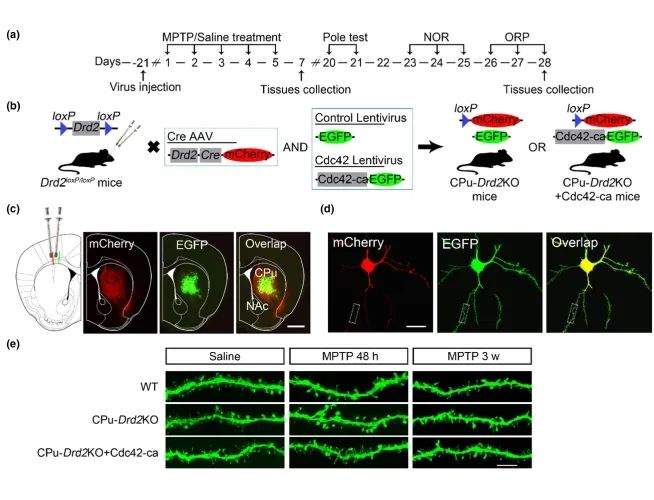
CPu主要的神经元类型是D1R和D2R阳性神经元,因此研究人员关注是何种类型神经元的Cdc42的活性降低介导PD样行为。发现在PD小鼠中特异性敲除CPu的D2R后会导致Cdc42的活性明显降低,而在PD小鼠中特异性敲除D1R后不会显著改变Cdc42的活性。
既然敲除D2R会导致Cdc42的活性降低,那么在D2R阳性神经元增加Cdc42的活性是否会改善树突棘发生呢?进一步研究发现敲除D2R后导致神经元的树突棘密度明显降低,而在D2R阳性神经元中增加Cdc42的活性则可以增加D2R阳性神经元的树突棘密度。
图3. D2R阳性神经元增加Cdc42活性促进树突棘发生
最后研究人员关注在D2R阳性神经元增加Cdc42活性是否会改善PD小鼠的行为学。行为学实验发现敲除D2R能诱导小鼠出现PD样行为,而在D2R阳性神经元中增加Cdc42的活性则可以改善PD小鼠的运动障碍和认知功能。
图4. D2R阳性神经元增加Cdc42活性改善PD样行为
结论
本文作者运用多种转基因鼠,通过病毒操纵基因表达、药理学手段、树突棘重构和行为学检测,发现增强PD小鼠的CPu脑区D2R阳性神经元的Cdc42信号,可改善PD小鼠的行为学和相关的疾病表型,为治疗PD相关的运动和认知功能障碍提供了一个潜在的治疗靶点。
文中使用的我司产品,列表如下:
更多产品请联系我们!